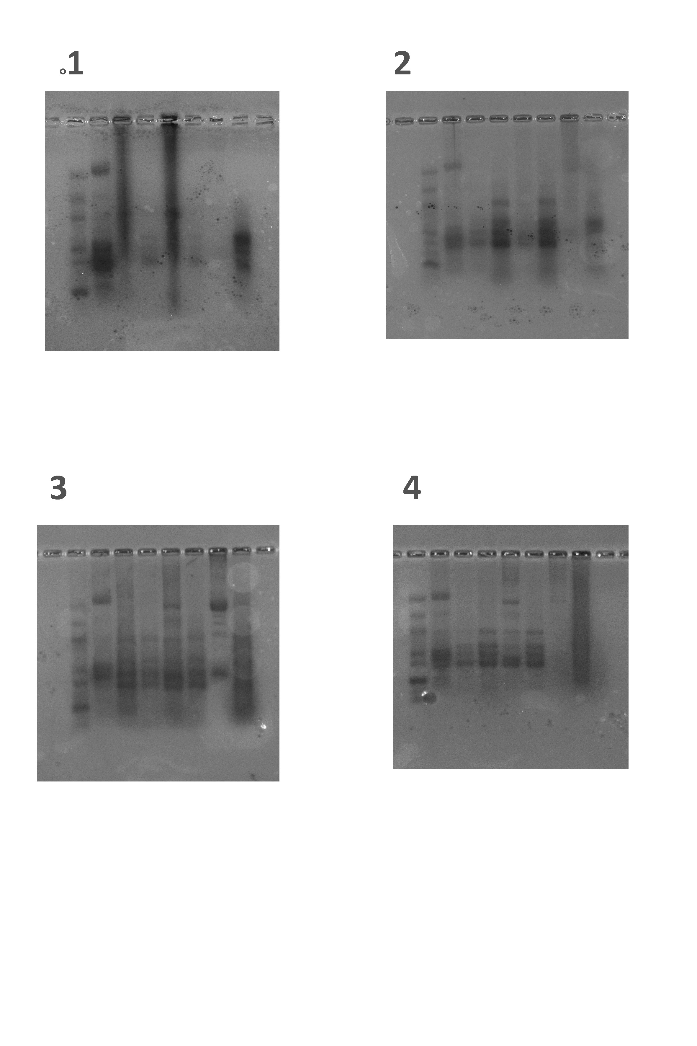
Στο αρχείο που επισυνάπτω θα βρείτε τα αποτελέσματα της τελευταίας αργαστηριακής άσκησης.
Παρακαλώ εκτυπώστε τα για την επόμενη φορά.
sos
Μην ξεχάσετε να έχετε μαζί σας χάρακα και μολύβι.
Στο αρχείο που επισυνάπτω θα βρείτε τα αποτελέσματα της τελευταίας αργαστηριακής άσκησης.
Παρακαλώ εκτυπώστε τα για την επόμενη φορά.
sos
Μην ξεχάσετε να έχετε μαζί σας χάρακα και μολύβι.
Ανάπτυξη - διαχείριση ιστότοπου:
Paperfly.gr